Una larga trayectoria nos avala
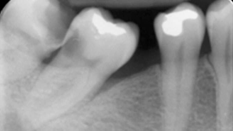
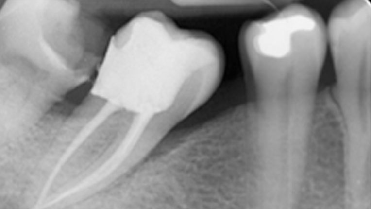
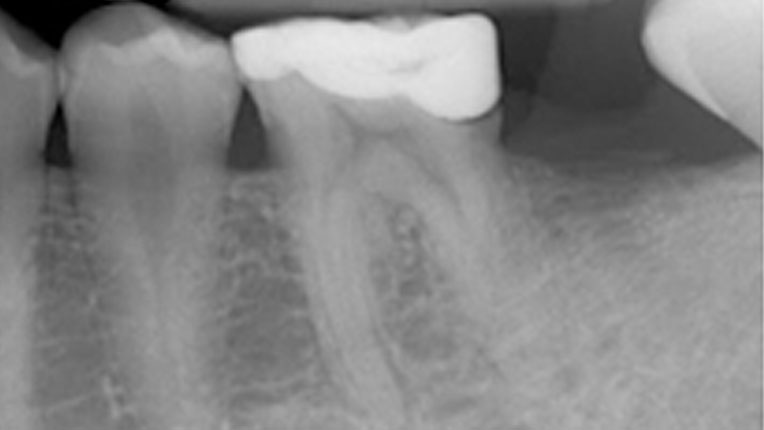
La Endodoncia es el procedimiento que se realiza para conservar el diente , que de otra manera tendría que ser extraido.
De esta manera evitas tener ponerte un Puente o Implante.
Tenemos un precio único de Endodoncia , no varia ni después de la valoración , ni dependiendo de la pieza. Realizada por un especialista en Endodoncia.
Disponemos del mejor Equipo en cuanto a personal y tecnología, ultimas tecnicas en Tratamientos sin dolor. Equipo de Endodoncia de Ultima Generación , sistema rotatorio con localizador integrado y Endodoncistas extensamente formados.
La mayoria de las Endodoncias se realizan en una sesion , es decir en una cita , existen determinados casos , por ejemplo cuando la infección es muy grande que es recomendable hacerlo en dos sesiones.
¿Por que en dos sesiones?, porque sino que no se puede obturar el mismo día con un material definitivo ya que puede causar mayores problemas, por eso es preferible en determinados casos hacerlo en dos sesiones.
Esto lo determina el Endodoncista , que es el especialista más cualificado para estos temas.



